Book Appointment
About Us
Meet Your Doctor
Meet Your Doctor
Affiliation
Facilities
Specialties
Gallery
Academic
Case Gallery
Contact Us
Home
Gallery
Gallery
Academic
Case Gallery
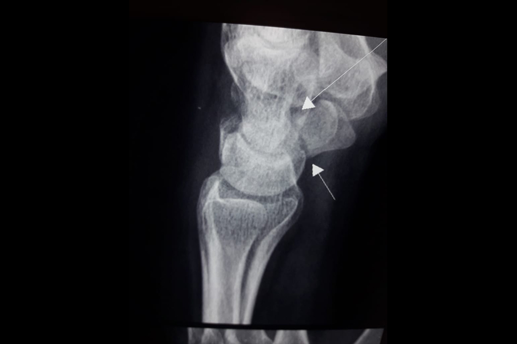
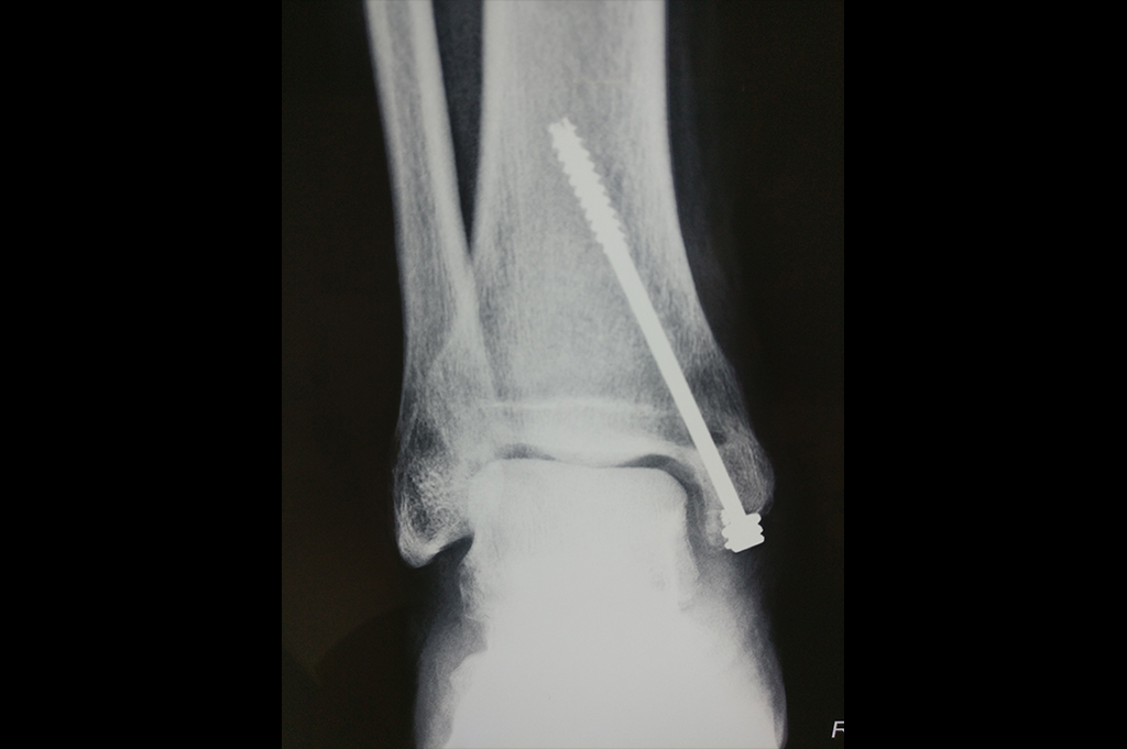
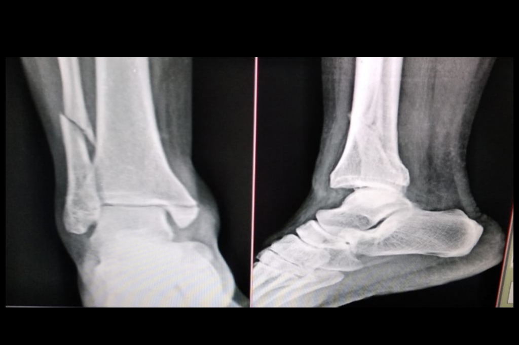
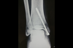
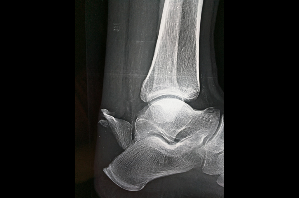
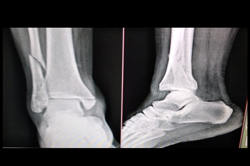
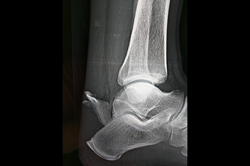
Ankle
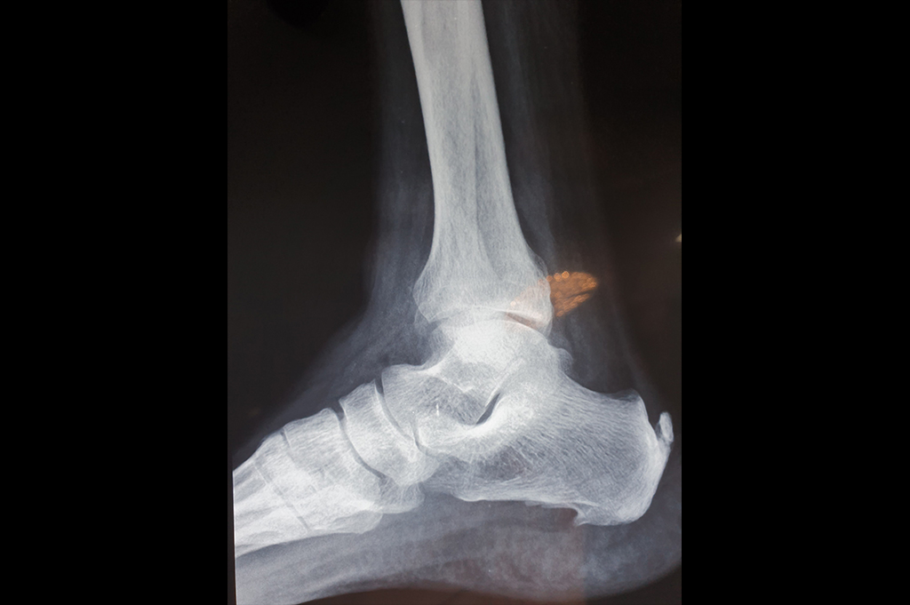
Calcaneum
Clavicle
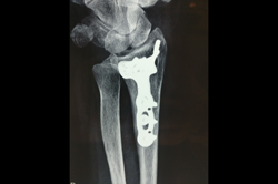
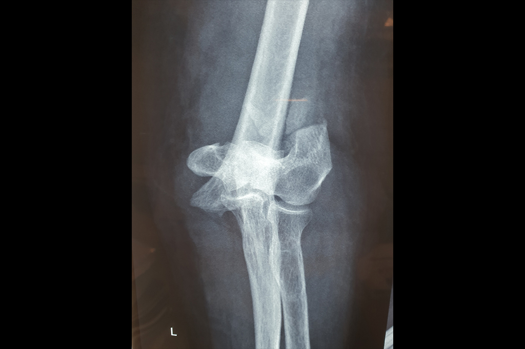
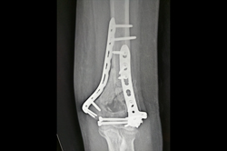
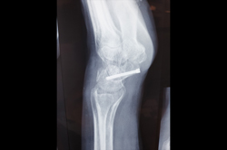
Distal Femur
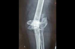
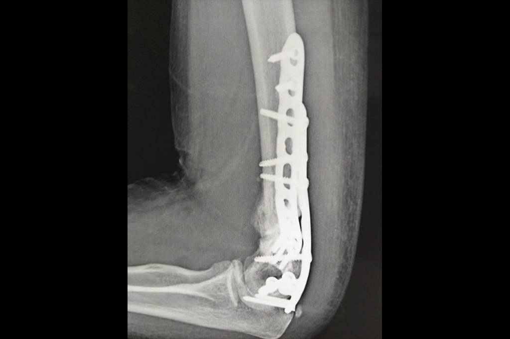
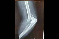
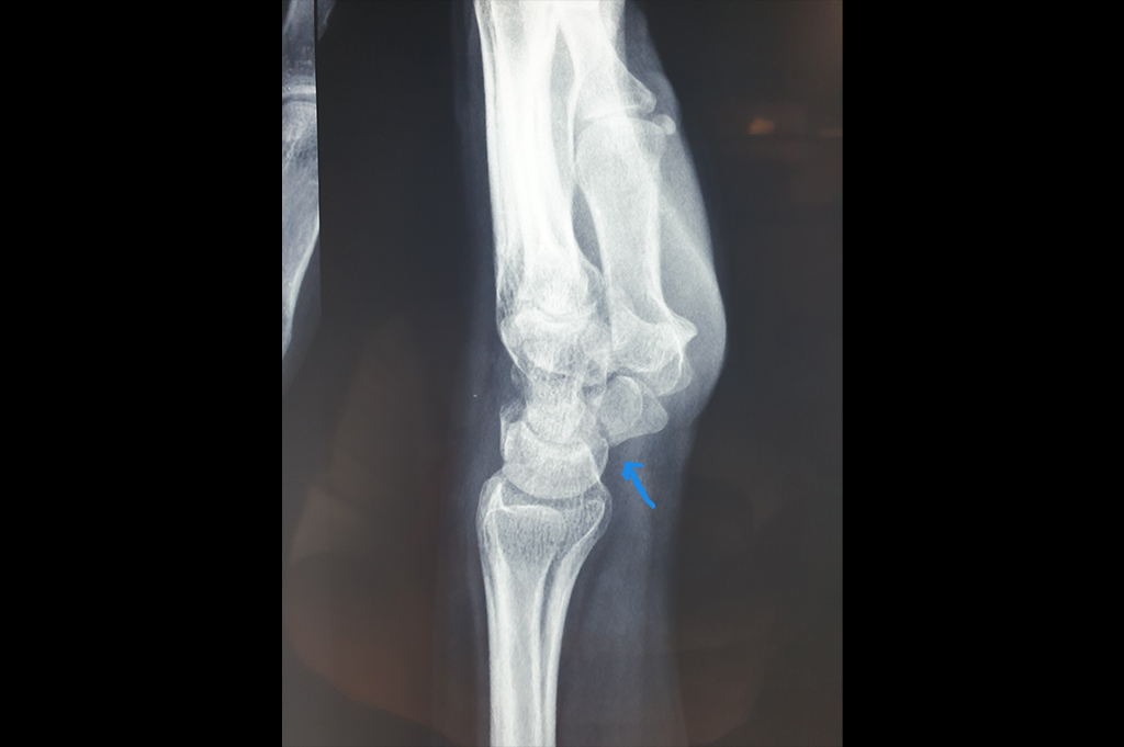
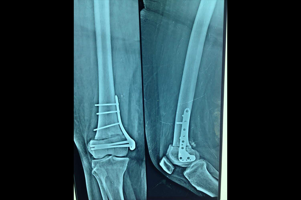
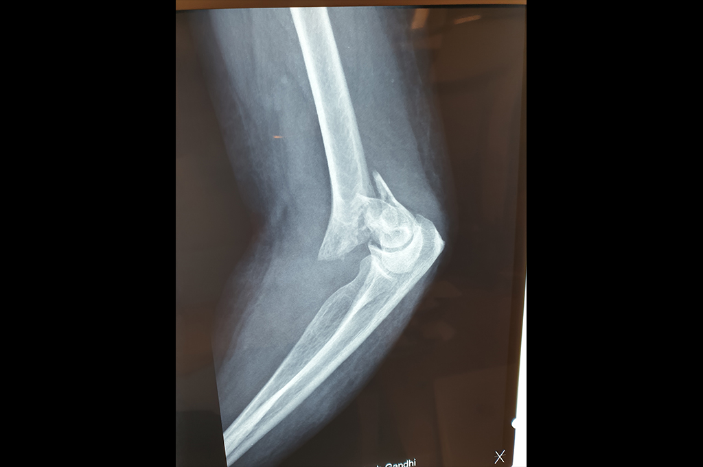
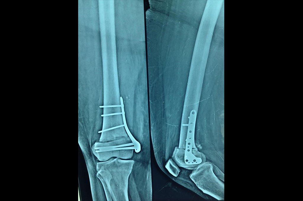
Elbow
Finger Tip injury
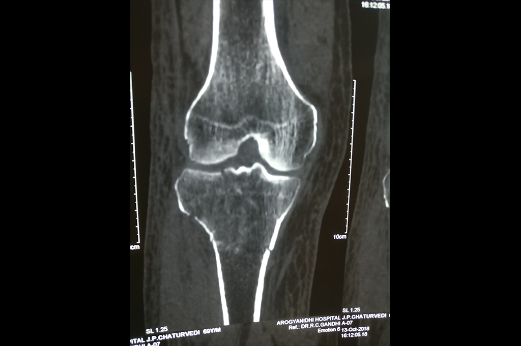
Osteoarthritis – High Tibial Osteotomy - HTO
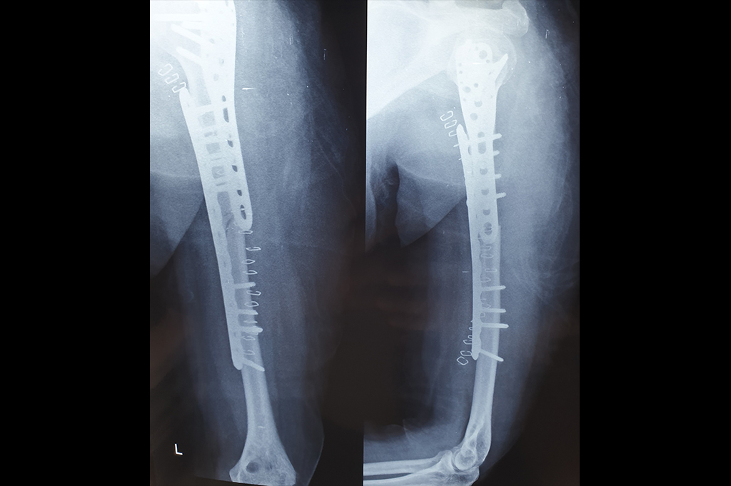
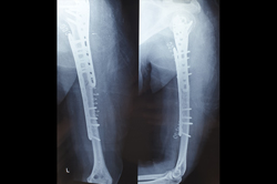
Humerus
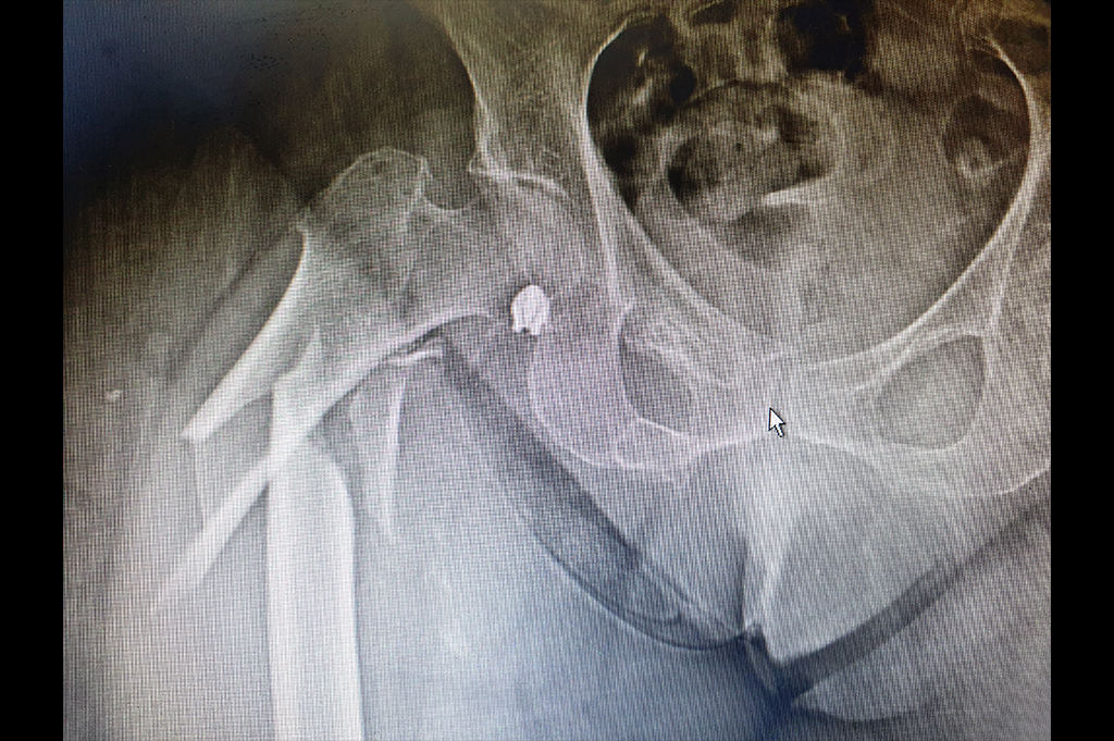
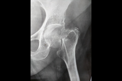
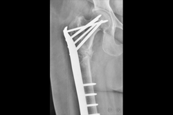
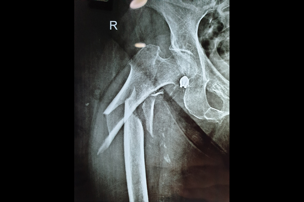
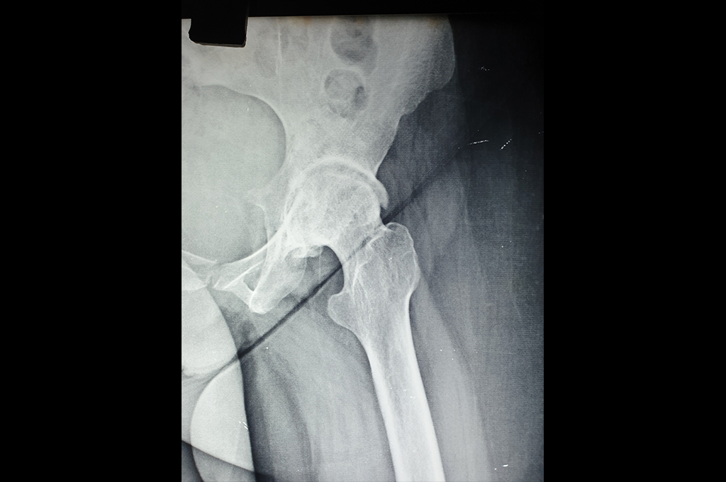
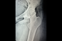
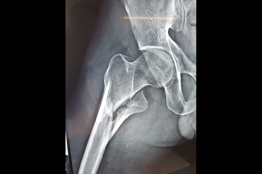
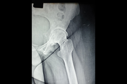
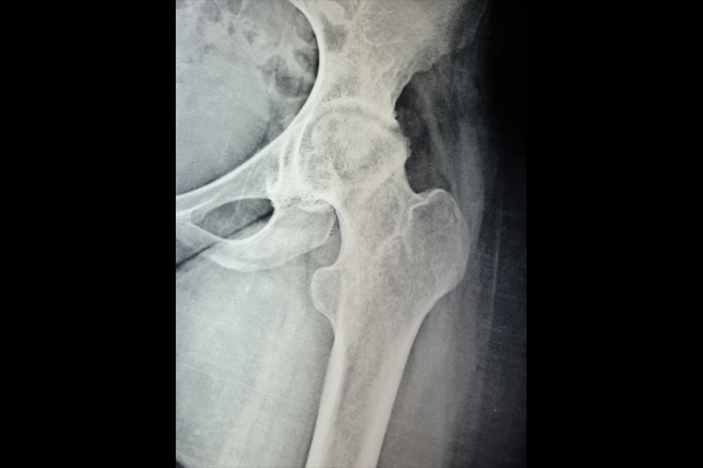
Intertrochanteric Fracture
Finger Tip Injury - JESS
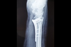
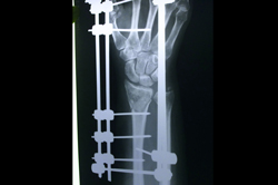
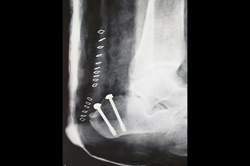
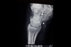
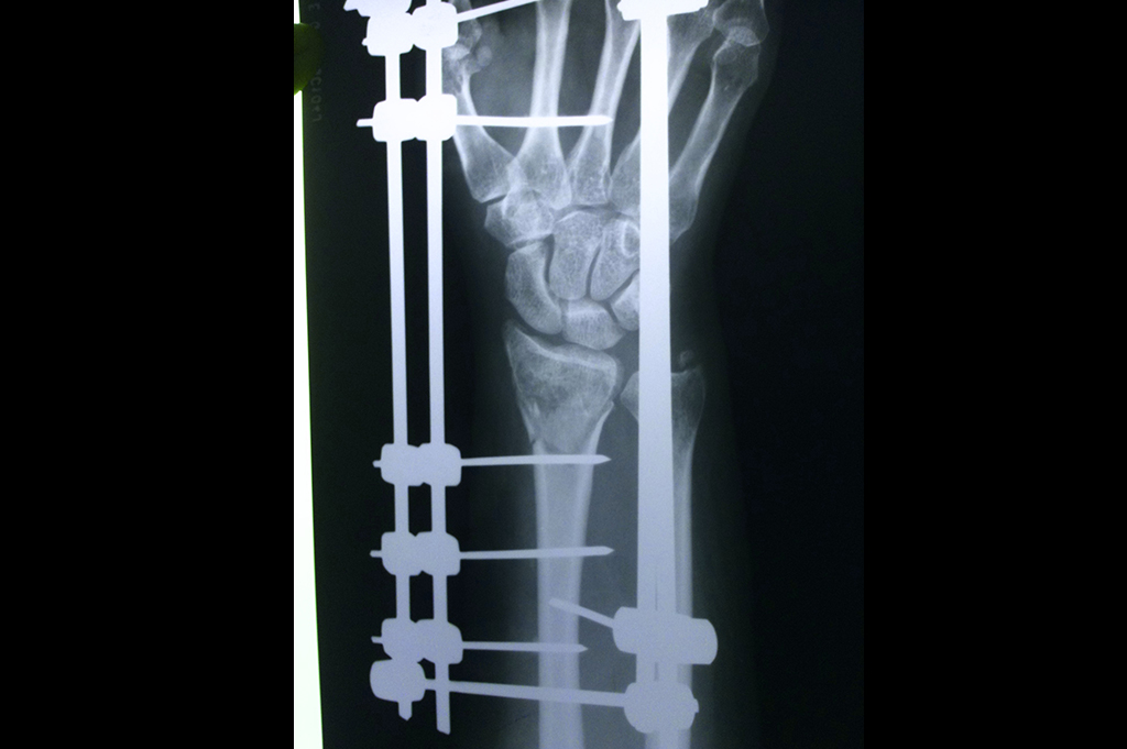
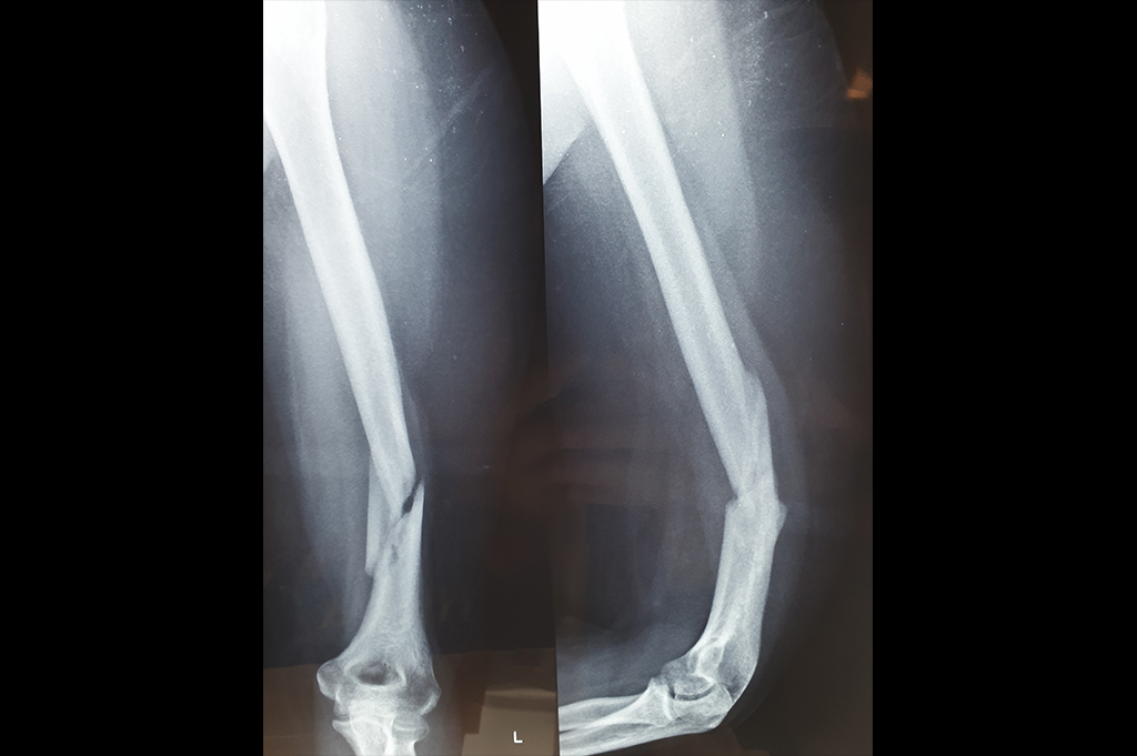
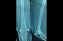
Lower Radius
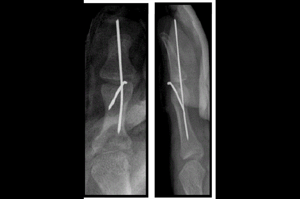
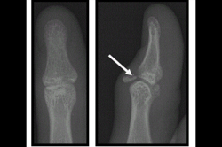
Mallet Finger
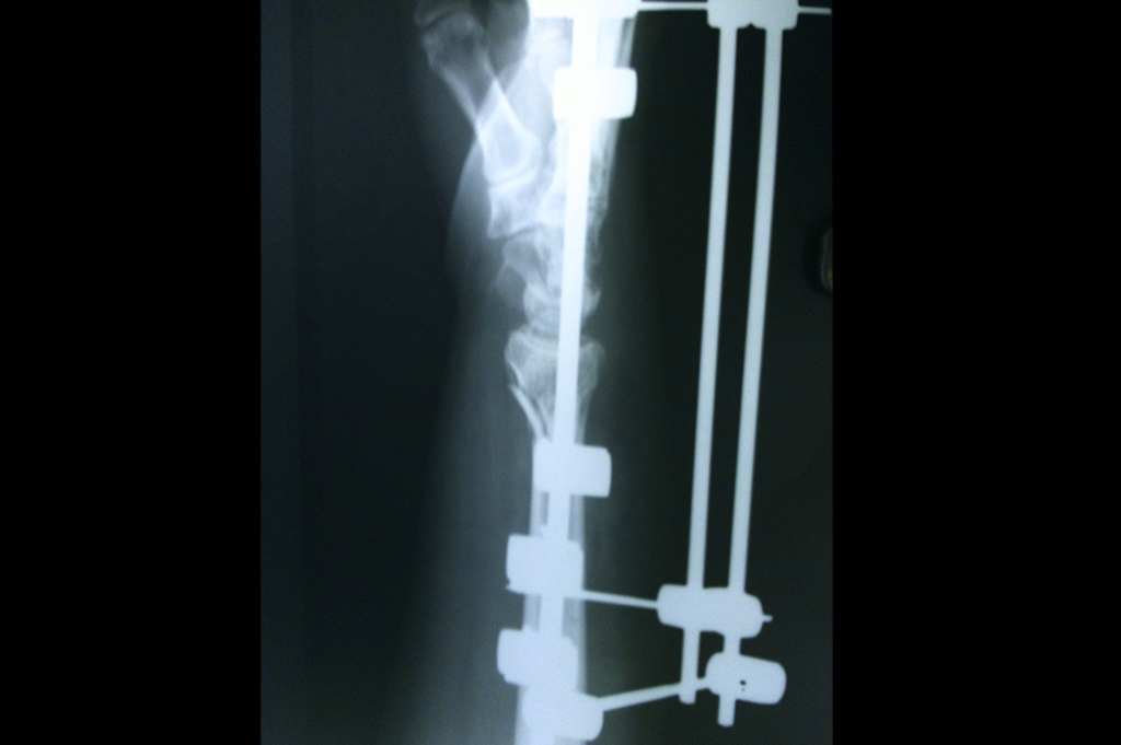
Metacarpal Fracture – External Fixator JESS
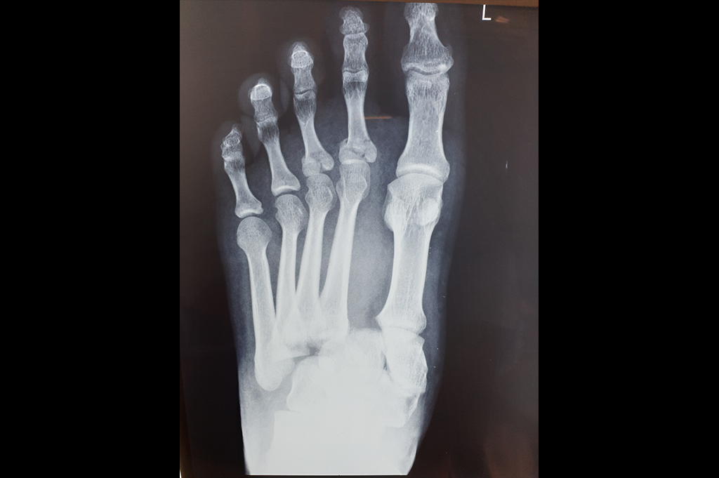
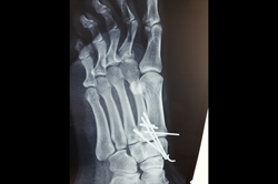
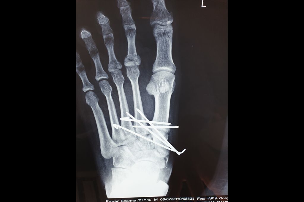
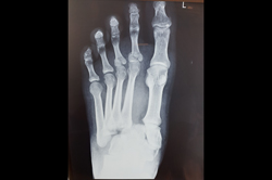
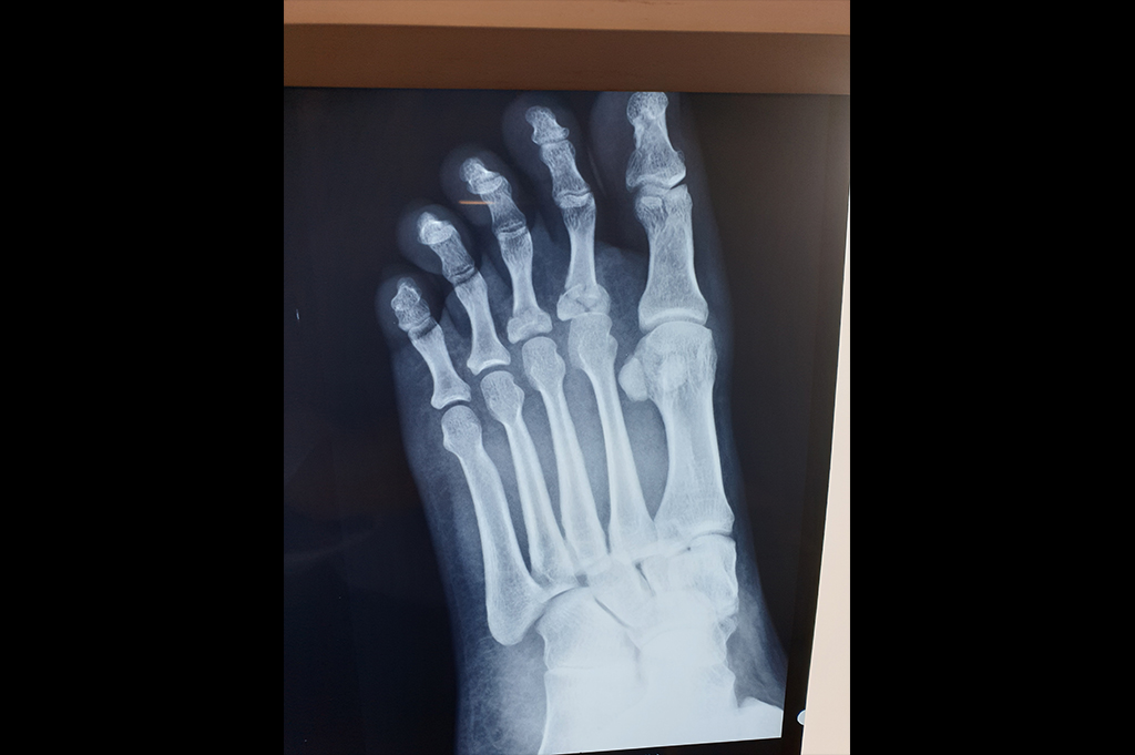
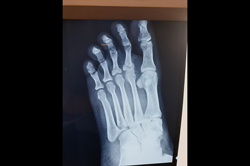
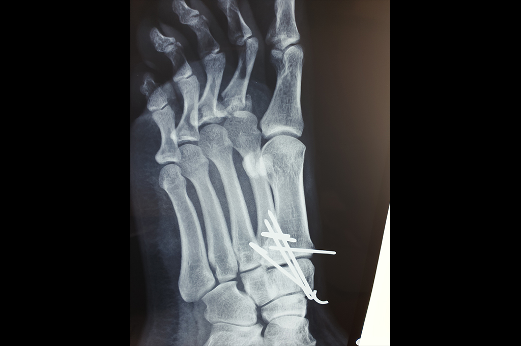
Metarsals with dislocations Lisfranc
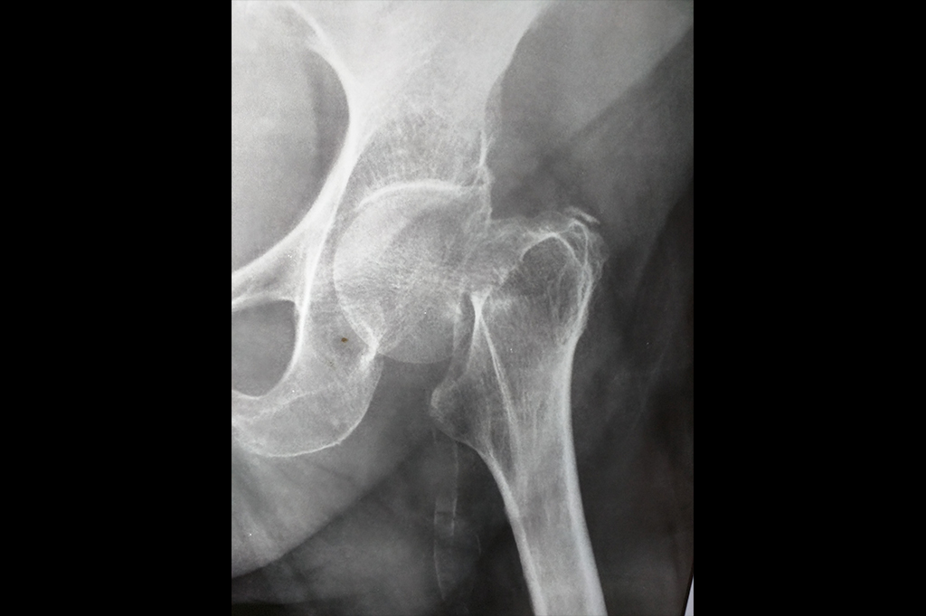
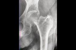
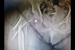
Neck Femur Fracture
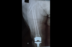
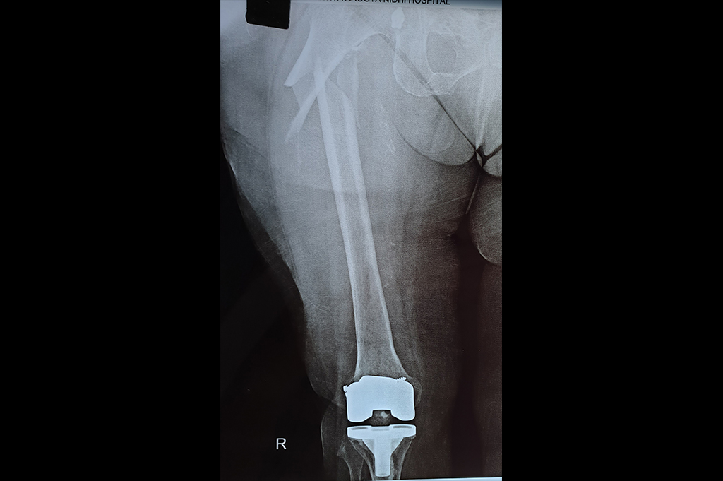
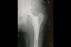
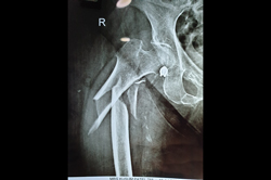
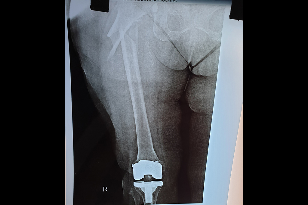
Periprosthetic Fracture THR
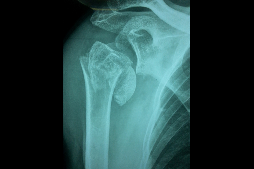
Proximal Humerus
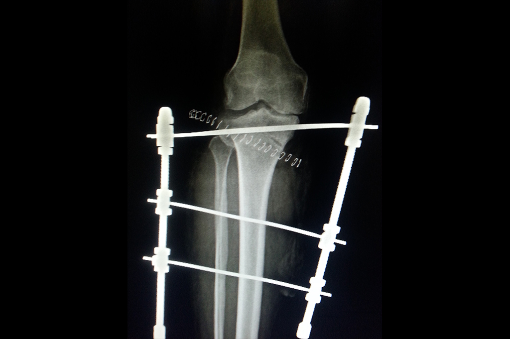
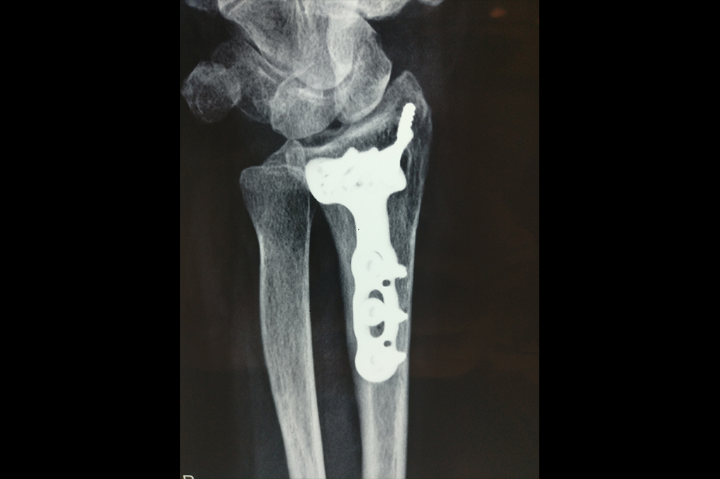
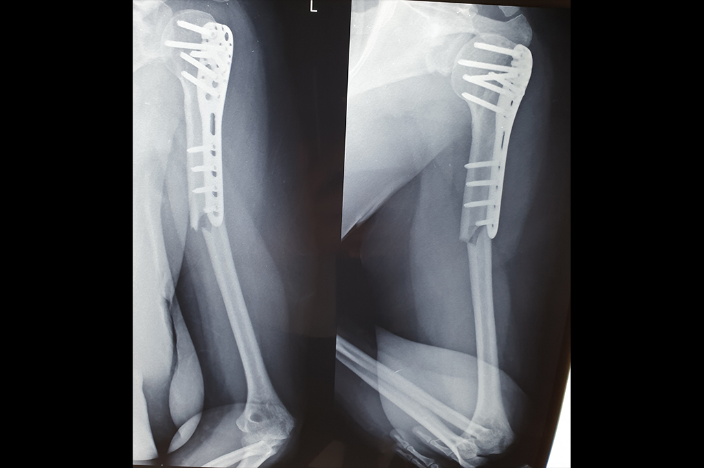
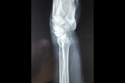
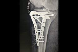
Proximal Tibia
Scaphoid
Shoulder Replacement
Spine
Subtrochanteric Fracture
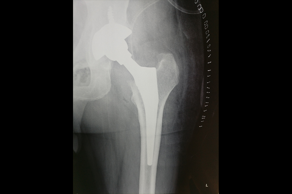
Total Hip Replacement - THR
Tibia Nailing
Total Knee Replacement - TKR
Arthroscopy - ACL Reconstruction, Maniscus Injury
Deformity Correction - Genu Valgum
Waterproof Cast